Copyright 2022 - Dr. Brett H. Taylor, D.D.S. All Rights Reserved.
Taylor Dentistry provides quality pediatric and general dentistry for families in Omaha, Elkhorn, Bellevue, Papillion, and surrounding Omaha, NE areas. Our patient care is a reflection of our philosophy that all patients deserve great dental care with a friendly, personalized approach.
Call Us Today 402-333-0274
TAYLOR
DENTISTRY
Services
Our office provides many different services for the convenience of our patients. Most notably, we have the unique combination of a pediatric dental specialist and a general dentist in one location. This enables parents to have their children seen by a specialists, while still visiting the same office for their dental care. Below is a sample of the many of the services we provide at our office. Under certain circumstances, the doctors may decide that it is in our patient’s best interest to be referred to a specialist. In such cases, the doctors will explain the reason and refer our patient to the appropriate specialist.
All phases of pediatric dentistry, including: Esthetic tooth-colored, bonded fillings and silver fillings Orthodontics Nitrous oxide sedation Space maintenance Anticipatory guidance - information provided to parents for the prevention of oral disease in infants and young children. Preventive interceptive ortho - the supervision of the growth and development of the dentition and jaws as well as measures undertaken to prevent a malocclusion from progressing into a more severe case.
Esthetic tooth-colored, bonded fillings Veneers Provider - Invisible braces (aka Invisalign) Teeth whitening Crowns and bridges Implants Extractions Root canal treatment Full and Partial dentures Nitrous oxide sedation
Dr. Brett Taylor
Dr. Mark Taylor
Sample of Services:
Photo Examples: *All photos were cases by Dr. Brett Taylor ( See More )
Porcelain crowns
Bridge
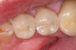
Tooth-colored fillings
Photo Examples: *All photos were cases by Dr. Mark Taylor ( See More )
Orthodontics
Before
After
Before
After
Orthodontics
17455 Manderson St. (174th & Maple) Omaha, NE 68116 Phone: 402-333-0274 Fax: 402-498-2997
Call: 402-333-0274
Request Appointment
New Patient Forms
Adult
Child
Dental FAQ
*Please Click Image for Form
Omaha Magazine’s List since 2011