Copyright 2022 - Dr. Brett H. Taylor, D.D.S. All Rights Reserved.
Taylor Dentistry provides quality pediatric and general dentistry for families in Omaha, Elkhorn, Bellevue, Papillion, and surrounding Omaha, NE areas. Our patient care is a reflection of our philosophy that all patients deserve great dental care with a friendly, personalized approach.
Call Us Today 402-333-0274
TAYLOR
DENTISTRY
Orthodontic Cases
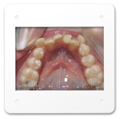
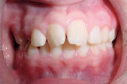
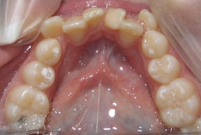
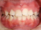
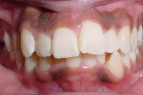
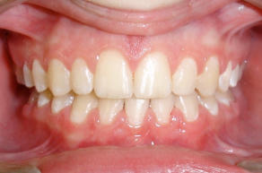
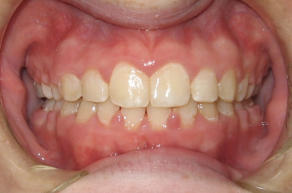
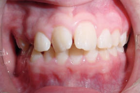
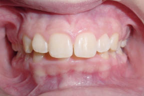
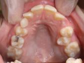
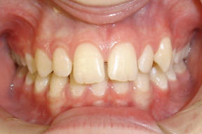
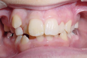
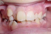
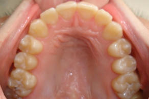
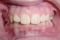
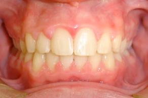
Below is a sample of patients Dr. Mark Taylor has treated with orthodontics, or braces. Orthodontics not only helps enhance a smile and self-confidence, but it also improves patient’s bite, tooth function, and ability to clean teeth. Improved cleaning leads to better long-term health of gums and teeth. Please click on the slides to view the ‘After’ results of Dr. Mark Taylor's orthodontic patients. All photos were cases by Dr. Mark Taylor. No smiles have been digitally altered.
Before
Before
Before
Before
Before
Before
Before
Before
Before
17455 Manderson St. (174th & Maple) Omaha, NE 68116 Phone: 402-333-0274 Fax: 402-498-2997
Call: 402-333-0274
Request Appointment
New Patient Forms
Adult
Child
Dental FAQ
*Please Click Image for Form
Omaha Magazine’s List since 2011